

Four Zirconia Ceramic crowns were placed on the 4 upper front teeth after orthodontic treatment. Patient is a 30 year old female. The 4 crowns appear separate, but the central and lateral incisors are fused as one unit prevent the teeth from moving. A wire in bonded on the lingual aspect.



60 year old female desired to have a more esthetic smile. This was accomplished with six Zirconia Ceramic crowns. My experience is that crowns placed with exacting technique have given service in excess of 4 decades. Below are the crowns on the working model.



65 Year-old female, presented with fracture right lateral incisor. This tooth required extraction. The smile was restored with a 3-unit bridge use adjacent teeth as retainers and two crowns on the left incisors.



This case required orthodontic treatment to realign teeth prior to the placement of crowns and bridges in the upper arch.



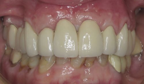
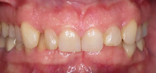
This extensive case is described on our YouTube channel. The crowded teeth presented unique challenges, requiring extractions, long-term provisional restorations to allow for healing of sockets, which took 4 months. Final restorations are Zirconia Ceramic splinted crowns and bridges. I invite you to view the case.


This extensive case is described on our YouTube channel as "The Unforgiving Smile, Nowhere to Hide". This was the last case done in co-operation with my dental technologist of 20 years, Dennis DiMarchi. A craftsman of the highest order. Sadly he passed away in May of 2020 shortly after fabricating this case. It miss you dear friend and colleague. I continue to work with dental lab he founded, Prism Dental Ceramics, under the ownership of Davor Medunic, an equally talented and dedicated technologist.


Before and After


Before and After


Before and After


Before and After